Author: João Pedro Marto, MD, PhD
Department of Neurology, Hospital de Egas Moniz, Centro Hospitalar Lisboa Ocidental,
Lisbon, Portugal
NOVA Medical School, NOVA University, Lisbon, Portugal
Between 2.5% and 4% of patients with an acute ischaemic stroke (AIS) and an arterial occlusion have an isolated cervical internal carotid artery occlusion (c-ICA-O).1,2
The management of these patients can be particularly challenging due to both diagnostic uncertainties and therapeutic dilemmas.
In the presence of a patent intracranial circulation, these patients often exhibit fluctuating neurological deficits, requiring intensive clinical monitoring and complex treatment decisions. The underlying stroke mechanism is frequently perceived as predominantly hemodynamic, leading clinicians to favor medical strategies such as head-down (lying-flat) positioning, fluid resuscitation, and/or the use of vasoactive agents. However, even when presenting with mild or remitting symptoms, patients with isolated c-ICA-O are at higher risk for early neurological deterioration when managed conservatively.3,4 This observation raises important questions about the role and timing of recanalisation therapies in this subgroup.
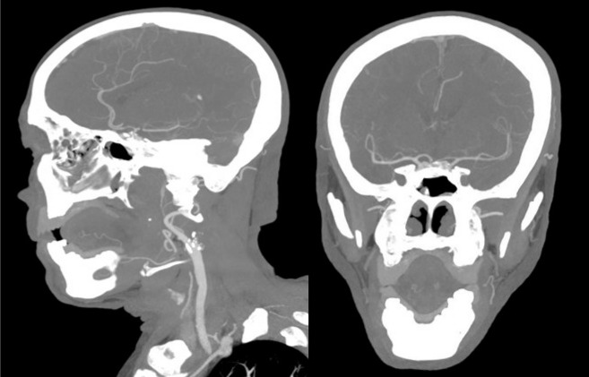
Imaging also presents diagnostic difficulties. Differentiating between extracranial and intracranial carotid occlusion can be challenging using CTA or MRA.5 Clinicians should be aware of the phenomenon of pseudo-occlusion, in which a distal intracranial ICA or proximal MCA occlusion results in absent or severely reduced antegrade flow in the cervical ICA. This may lead to non-opacification or a tapering appearance on CTA/MRA, mimicking a true proximal ICA occlusion.6,7 Furthermore, differentiating acute from chronic ICA occlusions may influence management strategies. Beyond assessing the extent of collateral circulation, specific imaging features—such as the morphology of the occlusion stump and vessel wall characteristics can aid in distinguishing acute thrombotic events from chronic atherosclerotic occlusions.8
Regarding recanalisation therapies, IVT presents a theoretical double-edged sword: While it may promote recanalisation or prevent thrombus propagation, it may also induce thrombus fragmentation and distal embolisation, thereby worsening clinical outcomes. In the absence of large, high-quality studies specifically designed to address this treatment decision, data from studies evaluating IVT in patients with cervical artery dissection may represent the most relevant evidence available.9,10
For EVT decisions, there are no data from randomised-controlled clinical trials (RCTs), since patients with isolated c-ICA-O were not included in any of the studies assessing safety and efficacy of EVT in anterior circulation AIS.11 Nevertheless, over the last years, small observational studies have been published suggesting that EVT was feasible, while it remains to be shown whether EVT is associated with improved clinical outcomes and safety.2,12,13 Notably, two large observational studies published this year offer new insights.
The ACOBOW study, a retrospective, observational, multicenter cohort study, included patients from 23 centers, between January 2015 and June 2022. The main inclusion criteria were the diagnosis of an AIS due to an acute isolated occlusion of the carotid artery with no occlusion in or beyond the circle of Willis, receiving either EVT or best medical management (BMT). The authors included 354 patients (EVT=291 and BMT=63), with a median NIHSS of 13. After multivariable logistic regression and inverse probability weighting analyses, no difference in clinical and functional outcomes was observed between the two treatment groups.
The ETIICA study, a retrospective, observational, multinational cohort study, enrolled patients from 42 centers, between January 2018 and December 2022. The main inclusion criteria were the diagnosis of an AIS due to an acute isolated occlusion of the carotid artery located exclusively in the carotid bulb and/or ascending cervical carotid segment, receiving either EVT or BMT. 998 patients were included (EVT=487 and BMT=511), with a median NIHSS of 9. After statistical analyses combining inverse probability of treatment weighting with regression models or using propensity score matching, the authors found that EVT was associated with similar odds of disability and intracranial bleeding compared to BMT.
In subgroup analyses, neither study showed an interaction between treatment strategy and stroke severity, etiology or time-to-treatment. In both studies, rates of complete recanalisation of the ICA and of distal embolisation were similar (respectively 80.9% vs. 76.8% and 27.8% vs. 29.4%).
Despite limitations inherent to observational designs—including potential selection and misclassification biases—these studies represent the most robust data available on EVT in isolated c-ICA-O. RCTs are urgently needed to determine optimal management. However, challenges are anticipated regarding patient selection criteria. Currently, one RCT is underway in France (NCT05832762), enrolling patients with NIHSS >5 and perfusion mismatch (based on DEFUSE-3 criteria) or clinical–imaging mismatch (ASPECTS >5).
In conclusion, although an uncommon stroke presentation, patients with AIS and isolated c-ICA-O face particular diagnostic and therapeutic challenges that demand attention. Recent observational data have questioned the benefit of EVT in this context. Further studies, including carefully designed RCTs and focused subgroup analyses, are essential to refine patient selection and optimise treatment strategies.
—
References
- Haussen DC, Al‐Bayati AR, Mohammaden MH, et al. The Society of Vascular and Interventional Neurology (SVIN) Mechanical Thrombectomy Registry: Methods and Primary Results. Stroke: Vascular and Interventional Neurology. 2022;2:e000234.
- Kaiser DPO, Reiff T, Mansmann U, et al. Endovascular Treatment for Acute Isolated Internal Carotid Artery Occlusion: A Propensity Score Matched Multicenter Study. Clin Neuroradiol. 2023; 34(1):125-133.
- Boulenoir N, Turc G, Henon H, et al; MINOR-STROKE Collaborators. Early neurological deterioration following thrombolysis for minor stroke with isolated internal carotid artery occlusion. Eur J Neurol. 2021;28(2):479-490.
- Khazaal O, Neale N, Acton EK, et al. Early neurologic deterioration with symptomatic isolated internal carotid artery occlusion: a cohort study, systematic review, and meta-analysis. Stroke Vasc Interv Neurol. 2022;2(5):e000219.
- Diouf A, Fahed R, Gaha M, et al. Cervical internal carotid occlusion versus pseudo-occlusion at CT angiography in the context of acute stroke: an accuracy, interobserver, and intraobserver agreement study. Radiology. 2018;286(3):1008–15.
- Kim JJ, Dillon WP, Glastonbury CM, Provenzale JM, Wintermark M. Sixty-four-section multidetector CT angiography of carotid arteries: a systematic analysis of image quality and artifacts. AJNR Am J Neuroradiol. 2010;31(1):91-9.
- Caldwell J, Heran MKS, McGuinness B, Barber PA. Imaging in acute ischaemic stroke: pearls and pitfalls. Pract Neurol. 2017;17(5):349-358.
- Michel P, Ntaios G, Delgado MG, et al. CT angiography helps to differentiate acute from chronic carotid occlusion: the “carotid ring sign”. Neuroradiology. 2012 Feb;54(2):139-46.
- Shu L, Akpokiere F, Mandel DM, et al. Intravenous Thrombolysis in Patients With Cervical Artery Dissection: A Secondary Analysis of the STOP-CAD Study. Neurology. 2024;103(7):e209843.
- Shu L, Lee E, Field TS, et al. Intravenous Thrombolysis in Cervical Artery Dissection-Related Stroke: A Nationwide Study. J Am Heart Assoc. 2025;14(5):e039662.
- Goyal M, Menon BK, van Zwam WH, et al. Endovascular thrombectomy after large-vessel ischemic stroke: a meta-analysis of individual patient data from five randomized trials. Lancet. 2016;387(10029):1723-31.
- Jadhav A, Panczykowski D, Jumaa M, et al. Angioplasty and stenting for symptomatic extracranial non-tandem internal carotid artery occlusion. J Neurointerv Surg. 2018;10:1155–1160.
- Waters MJ, McMullan P, Mitchell PJ, et al. Endovascular Therapy Versus Medical Therapy for Acute Stroke Attributable to Isolated Cervical Internal Carotid Artery Occlusion Without Intracranial Large Vessel Occlusion Stroke Vasc Interv Neurol. 2022;2:e000174.
- Meyer L, Broocks G, Alexandrou M, et al.Endovascular versus Best Medical Treatment for Acute Carotid Occlusion BelOw Circle of Willis (ACOBOW): The ACOBOW Study. Radiology.;314(1):e240293
- Marto JP, Riegler C, Gebert P, et al. Endovascular treatment for isolated cervical internal carotid artery occlusion: ETIICA study. Eur Stroke J. 2025 Feb 28:23969873251323488.
ESOC is Europe’s leading forum for advances in research and clinical care of patients with cerebrovascular diseases. ESOC 2026 will live up to its expectation, and present to you a packed, high quality scientific programme including major clinical trials, state-of-the-art seminars, educational workshops, scientific communications of the latest research, and debates about current controversies. Learn more.

